JOHNSONGRACE ULTRASOUND SCANNING

Scanning for Pregnancy in Dogs

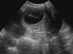
We offer a mobile service of Ultrasound Scanning in the comfort of your own home. Confirming pregnancy in your Bitch from Day 28 from Mating. £40 per scan plus travel expenses if applicable. (free within 10 miles) DEFRA approved. VIS trained and Certified. High Specification Veterinary Equipment

JOHNSONGRACE MICROCHIPPING

Microchipping. Dogs or Cats. £12 per animal, discounts for more than one animal or special rate for litters. Petlog Registered through the Kennel Club

Johnsongrace Ultrasound Scanning and microchipping

Mobile Ultrasound scanning and microchipping

We offer a service where we can come to your own home and Scan your bitch for pregnancy. We can confirm if your bitch is in pup and can give a rough estimate on how many pups can be seen. However, we cannot be held responsible for the accurate number of pups as bitches can reabsorb pups as well as pups can be hidden.
We specialise with nervous bitches too, spending time with them and reassuring them before scanning them

Contact Information

Dee Johnson
01288 341655
07725558396
johnsongrace@post.com
Send Message

LoadingLoading